Structure Function & Living Or
Description
Reference
Price
Quantity
Buy

Agar No.3 - 100gGeneral purpose bacteriological-grade agar powder CAS Number: 9002-18-0
Back in stock shortly, please ask for due date

Alpha Amylase - 25g<strong>Please note that none of our enzymes are to be considered as being of Food Grade Standard and are not fit for human consumption.
Back in stock shortly, please ask for due date

The amino acid structure of proteins can be determined by their hydrolysis and subsequent separation by chromatography. For this work, pure standards are essential
Back in stock shortly, please ask for due date

3-dimensional model set that includes enlarged artery, vein and capillary models showing cross-sections and interior structures Artery structures highlighted include tunica,
Back in stock shortly, please ask for due date

Anti human -lg A Serum - 2ml For use with our Antibodies in Saliva Kit (B8A02082).
Back in stock shortly, please ask for due date

A systemic gram negative ring device suited towards <strong><em>Gram Negative orga nisms </em></strong>carry ing 8 antibiotic impregnated tips allowing the simultaneous
Back in stock shortly, please ask for due date

This kit enables students to identify quantitatively naturally occurring antibodies (immunoglobulin A) in their saliva. These antibodies are the important first line of
Back in stock shortly, please ask for due date

Bacillus megaterium is a rod-like aerobic spore-forming bacterium. It has very large cells and forms heat-resistant endospores. The bacterium produces lipase and protease
Back in stock shortly, please ask for due date

Bacillus subtilis is a rod-like bacterium found in soil and in the gastrointestinal tract of ruminants & humans. It is a Gram Positive bacteria. Pack
Back in stock shortly, please ask for due date

<strong>Please note that none of our enzymes are to be considered as being of Food Grade Standard and are not fit for human consumption. They are only suitable for use
Back in stock shortly, please ask for due date

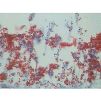
A trio of microscope slides showing some common bacterial cultures that are used in schools. Suitable for use at Key Stage 3 and GCSE to introduce students to
Back in stock shortly, please ask for due date

This Base Unit for the Food Calorimeter comprises of a metal disc, 100mm diameter, with a boss for mounting on a 13mm retort rod.The unit forms the floor of the combustion
Back in stock shortly, please ask for due date

A set of 8 prepared microscope slides chosen to introduce the main structures of the Human Body. The slides have been chosen to reflect the Key Stage 3 and GCSE curriculum
Back in stock shortly, please ask for due date

A basic set of 5 prepared microscope slides giving an introduction to Mycology, including a selection of yeast and fungi. Suitable for use in schools and also for those who
Back in stock shortly, please ask for due date

A basic set of 5 prepared microscope slides chosen to cover a range of different plant structures. Suitable for Primary, Key Stage 3 and GCSE students.Slide set contains 1
Back in stock shortly, please ask for due date

Slide set contains 1 each of the following slides: Human Spermatozoa Human Testis Ovary, thin section Ovary, pregnant Uterus, pregnant All slides are available to
Back in stock shortly, please ask for due date

A basic set of 3 prepared microscope slides which can be used to introduce the Respiratory System and its associated structures. Suitable for use at primary
Back in stock shortly, please ask for due date

Catalase - 50ml<strong>Please note that none of our enzymes are to be considered as being of Food Grade Standard and are not fit for human consumption. They are
Back in stock shortly, please ask for due date

This Cell Print Set comprises of twelve specially selected electron micrographs highlighting the main ultrastructural features of plant and animal cells. Key
Back in stock shortly, please ask for due date

Cellulase - 2g<strong>Please note that none of our enzymes are to be considered as being of Food Grade Standard and are not fit for human consumption. They are
Back in stock shortly, please ask for due date

Chlorella medium with trace elements solution (for suspension culture). Used for growing algae. Sufficient to make 10L of medium. Algal culture not included.
Back in stock shortly, please ask for due date

Teach students how to apply and use a condom safely. This Condom Trainer Model is a low cost expanded polystyrene model of an erect human penis. For individual or group
Back in stock shortly, please ask for due date

Children can look into each other's mouths or their own using these disposable dental mirrors. The high quality mirror housed in a plastic handle makes an excellent tool
Back in stock shortly, please ask for due date

Four piece model indicating structures and organs with vascular effects due to diabetes. Includes sectioned model of Bowman’s capsule (kidney), artery,
Back in stock shortly, please ask for due date